軟部外科
軟部外科
整形外科、心臓外科、脳神経外科以外の病気に対する外科手術のことで、去勢避妊手術をはじめ、肺や肝臓等に発生する各種腫瘍外科や顕微鏡を用いた尿管結石摘出まで幅広く対応しております。
手術前に血液検査やCT検査を用いて手術前評価や合併症リスク等をしっかり把握し、飼い主様にご説明しています。
超音波メスや超音波吸引機を用いて、出血の少ない手術や体の中に糸をなるべく残さないような手術にも取り組んでいます。
対応例
- 各種腫瘍
-
口腔内: 胸腔内: 肺腫瘍、胸腺 腹腔内: 肝臓、脾臓、膵臓、腎臓、副腎、胃、腸、胆嚢 皮膚: - 各種結石
-
- 尿管結石
- 膀胱結石
- 腎臓結石
![]() |
![]() |
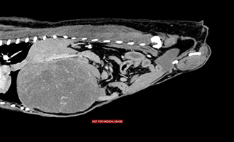
術前CT画像 |
|
※当院では、担当医の他にAGMCグループ所属の獣医師が手術または獣医師の指示のもとケアスタッフが処置を行う場合がございます。
予めご了承下さい。





